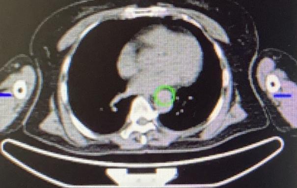
现在介入放射科的技术还在不断发展,能解决的健康问题越来越多,从心脑血管疾病到肿瘤,从急症抢救到慢性病治疗,都能看到它的身影。
希望医学的进步能让治疗更微创、更安全、更有温度。
现在介入放射科的技术还在不断发展,能解决的健康问题越来越多,从心脑血管疾病到肿瘤,从急症抢救到慢性病治疗,都能看到它的身影。
希望医学的进步能让治疗更微创、更安全、更有温度。
猜你喜欢
【1评论】【2点赞】
【1评论】【14点赞】
【2评论】【38点赞】
【13评论】【58点赞】
【2评论】【3点赞】
作者最新文章
热门分类
娱乐TOP
娱乐最新文章