万益资讯网
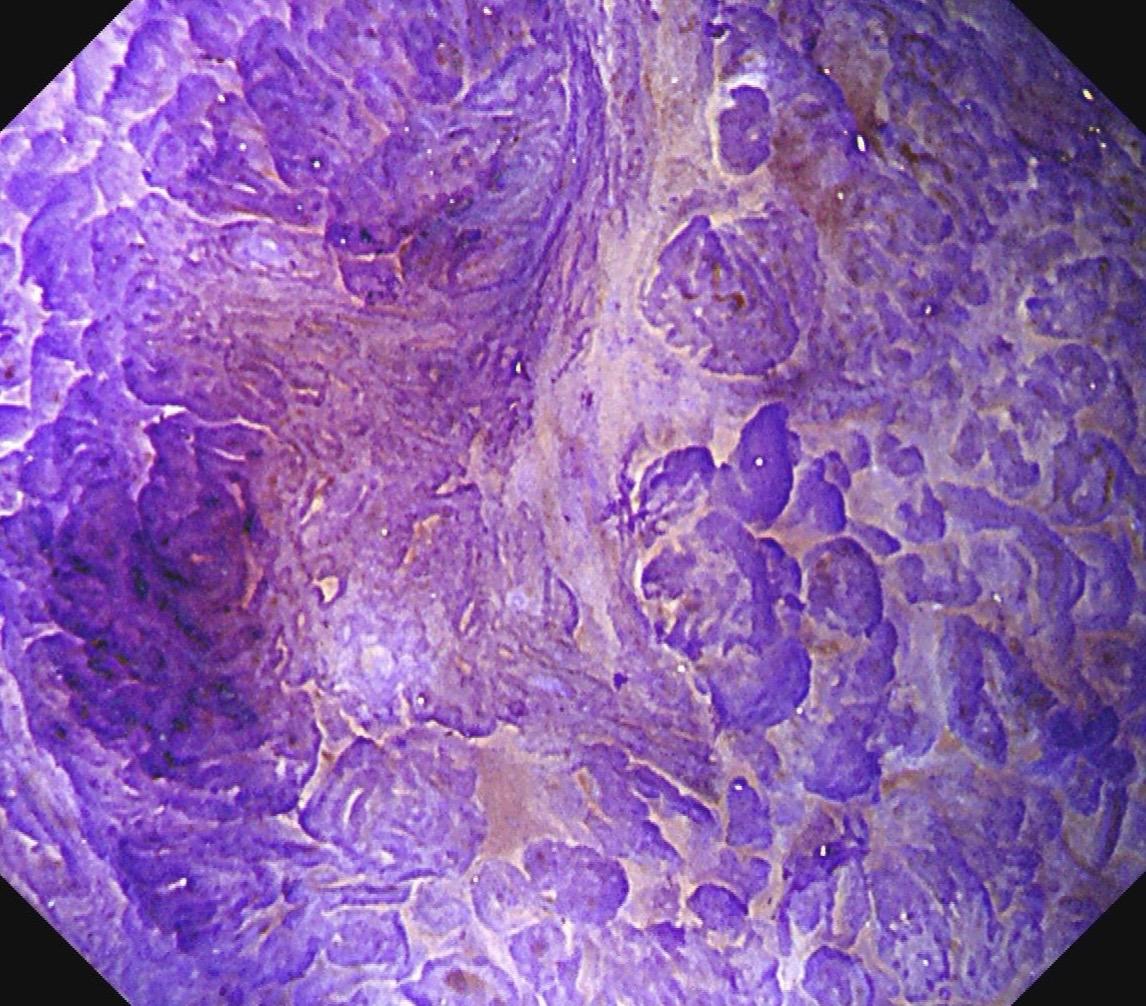
低位早期直肠Ca.男,37岁,大便带血1月,距齿状线2cm,ESD切除...
消化内镜王磊
2025-11-19 22:54:12
低位早期直肠Ca.男,37岁,大便带血1月,距齿状线2cm,ESD切除,还好来得及时~
0
阅读:0
消化内镜王磊
感谢大家的关注
作者最新文章
1
新年快乐!
2
男,68岁,胃窦近胃角。褪色调平坦病变,边界清晰,肿瘤or非肿瘤?
3
无他,唯熟尔。
4
女,55岁,胃窦小弯,6mm,低瘤。
5
男,64岁,窦小,LGIN?
6
胃底,0.5cm,退色调,SMT样改变。女,47岁,胃底微隆起,考虑胃...
7
回顾几个病例,看图猜病理。有兴趣的可以猜一猜病理
8
1cm的T3期中分化腺Ca.
9
怎么样才算内心强大,允许一切发生~
10
魔法药水又来了。乙状结肠,LST,高度差不明显,还是比较容易漏的
热门分类
推荐
热榜
军事
NBA
体育
社会
明星八卦
娱乐
财经
科技
汽车
历史
国际
游戏
动漫
公益
搞笑
商业
互联网
数码
国际足球
房产
家居
时尚
科学探索
职场
育儿
股票
教育
影视
情感
热点
中国军情
武器
中国南海
中国足球
亚洲杯
科比
综合体育
CBA
投资
大咖秀
外汇
创业
风口
SUV
豪车
概念车
优惠
新能源
美国
欧洲
朝日韩
俄罗斯
孕期
街拍
婚姻
正能量