万益资讯网
暮江吟声的文章
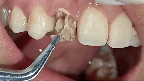
怎么做到丝毫不影响旁边牙还能烂这样[what]
2025-09-06 01:48
把榨出来的水烘干成晶体,储存起来,要喝的时候再拿出来兑水融化,有没有搞头?[灵光
2025-09-06 00:07
效果确实好,你看它多开心[泪奔]
2025-09-05 22:21
装蛇的袋子还在,蛇没了,这车也不敢开了[捂脸]
2025-09-05 20:33
这是在练蛤蟆功吗?[泪奔]
2025-09-05 18:33
用上红包,一只鸡不到十块钱,你敢点为什么不敢吃[捂脸]
2025-09-05 16:42
汽车司机深谙幸福者退让原则。[灵光一闪]
社会
2025-09-05 14:44
弹弹步看起来感觉人倍儿精神,走正步,看起来更威严了。[灵光一闪]
军事
2025-09-05 10:53
加完油坐车里一看,油表还是空的,靠!忘熄火了[捂脸]
汽车
2025-09-05 09:04
狗子的爪缝里有一只蜱虫,直接这样硬拔会不会容易感染?滴风油精啊[机智]
2025-09-04 23:35
椰子再嫩,也没有这么光滑翠绿的外皮呀。这是包了一层什么东西?[what]
2025-09-04 21:40
头能过来,身体应该就能过来啊[笑哭]
2025-09-04 19:44
猫的警觉性不是很高吗,这都怼脸上拍了还没发现[捂脸]
2025-09-04 17:39
这高度用去救?猫有猫的道,这一过去反而应激反应了。[捂脸]
2025-09-04 13:43
这是有多怕隐翅虫啊,壁布都不管了,直接烧[捂脸]
2025-09-04 11:57
梯子能立得住跟烧不烧纸没什么关系吧。[抠鼻]
2025-09-04 10:13
有些东西放在那里自然有它的道理。[捂脸]
2025-09-04 08:21
什么情况,点得越多越便宜[what]
2025-09-03 23:30
这是物业公司的会议室,晚上将进行抽签,干掉几个不缴费的业主让大家看看不缴费的下场
房产
2025-09-03 18:21
所以说动漫人物并没有多夸张[大笑]
动漫
2025-09-03 10:52
第一页
下一页
暮江吟声
暮江吟声
热门分类
推荐
热榜
军事
NBA
体育
社会
明星八卦
娱乐
财经
科技
汽车
历史
国际
游戏
动漫
公益
搞笑
商业
互联网
数码
国际足球
房产
家居
时尚
科学探索
职场
育儿
股票
教育
影视
情感
热点
中国军情
武器
中国南海
中国足球
亚洲杯
科比
综合体育
CBA
投资
大咖秀
外汇
创业
风口
SUV
豪车
概念车
优惠
新能源
美国
欧洲
朝日韩
俄罗斯
孕期
街拍
婚姻
正能量