“胆子真大!”湖南22岁男子尿急尿痛长达1年,才去医院就诊。检查后发现他膀胱里竟

冷紫葉花 2025-07-09 14:05:06

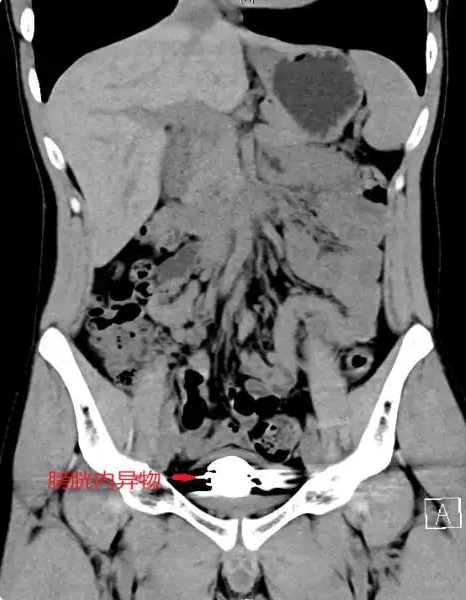
“胆子真大!”湖南22岁男子尿急尿痛长达1年,才去医院就诊。检查后发现他膀胱里竟藏有50粒,直径约5毫米的磁珠,表面已经形成钙化外壳。网友:这东西他是怎么搞进去?   7月4日报道,湖南长沙一名22岁的男子被紧急送往医院救治。男子从一年前开始就感觉小便非常频繁,并且在尿急的时候,还会感觉到剧烈的疼痛。可男子觉得自己这么年轻前列腺总不能出问题,更主要的是面子在这里,如果让好兄弟知道自己那里出了问题,这辈子不就抬不起头。   所以男子一直没有在意,后来渐渐的也就习惯了。可是随着时间的推移,男子的不适感感觉越来越强烈,甚至已经严重影响了自己上厕所,男子实在疼痛难忍,所以什么也不管了,直接去医院检查。   医生也就赶紧让男子去拍了片,拿到结果的医生一看,顿时就紧皱眉头。因为男子膀胱附近有密密麻麻不少的圆球状物体。

医生知道这是造成男子疼痛的主要原因,在进行手术时,医生发现这些是一颗颗的小磁珠,互相难舍难分不说,主要是表面都已经钙化,并且牢牢的吸附在膀胱壁上,稍微有点不慎,都会对男子造成极大的影响。   医院赶紧叫来多个科室会诊,经过两个小时的手术,终于将男子体内所有的磁珠取出。术后男子上厕所的时候也没有感受到有异物的感觉,也获得了前所未有的轻松。当医生问到这些磁珠是如何进入男子体内的时候,男子只是红着脸,不发一言,医生也顿时明白男子的意思了,并没有过多的提问。   磁珠这个东西早在几年前,都有不少新闻科普危险性有多高了。几年前磁力珠是孩子们几乎人手一个的玩具,可是在玩的时候,很多孩子都不小心误食,或者好奇的从其他部位塞入体内。这些磁力珠会通过肠道的运作汇合到一起,在某个部位紧紧的吸附在一起,对人体的危害非常大。   轻则就是导致肠道黏连、穿孔,甚至坏死。重则就是新发感染性休克。像男子这一病例也是被折磨了1年,如果男子仍旧坚持不去医院做手术的话,那么男子迟早会有生命之忧。

所以在这里提醒广大群众,如果有孩子的话,还是尽量避免购买磁力珠给孩子玩,如果有的话,也要对孩子严格监管和教育,否则就有可能会发生严重的后果。   至于成年人不要听信网上的误导性的言论,也不要对不该有好奇的部位和东西,产生好奇心,一旦失败了,和男子一样,医院也不敢去,去了就没法做人了,不去又会有生命之忧,怎么想都不划算。   好在男子遇到尽职尽责的医生,医生们也足够专业,技术过硬,否则22岁的年龄,稍有不慎就是一辈子的终身疾病。对此,你怎么看呢?欢迎在下方评论~

0 阅读:5
冷紫葉花

冷紫葉花

冷紫葉