万益资讯网
颅咽管瘤可以在任何年龄发病。72岁老人也患颅咽管瘤!很...
神外周忠清
2025-12-06 23:19:31
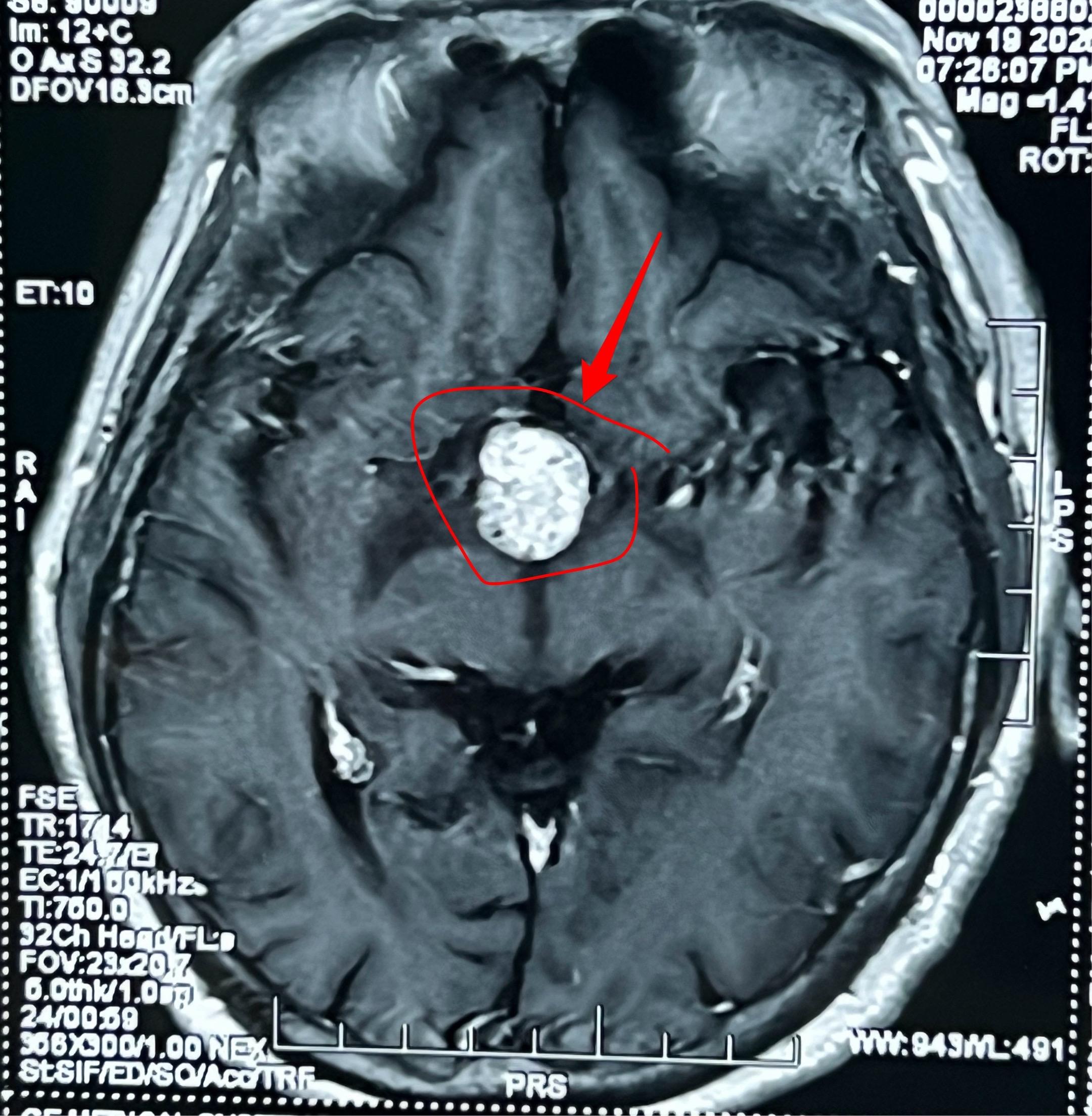
颅咽管瘤可以在任何年龄发病。72岁老人也患颅咽管瘤! 很多人都认为颅咽管瘤是小孩子得的病,其实不然。 70岁以上的老人也会患上颅咽管瘤这种病。这个72岁的青海省女性,因为视力下降、头痛到医院检查,发现了这个颅咽管瘤。 12月5日在我科行开颅手术将肿瘤完全切除。(今年我科的第193个颅咽管瘤手术。
0
阅读:2
神外周忠清
感谢大家的关注
作者最新文章
1
脑膜瘤长在不同的部位产生的症状也不同!这个59岁的内蒙古男性,最开始的...
2
颅咽管瘤可以在任何年龄发病。72岁老人也患颅咽管瘤! 很...
3
多次治疗后又复发的颅咽管瘤-不要轻易放弃。38岁福建男性,颅咽管瘤复发...
4
海绵状血管瘤出血。22岁辽宁省小伙子一周前突发头痛、乏力,一周之内几乎...
5
脑室内脑膜瘤也是良性肿瘤。49岁朝鲜族女性,在韩国工作,因头痛、呕吐发...
6
第一次经鼻手术后诊断为颅咽管瘤,可靠吗?27岁广西壮族自治区人,自幼视...
7
颅底脑膜瘤,彻底切除是首选治疗。59岁男性,体检发现这个肿瘤,无头痛症...
8
周日加班完成两台颅咽管瘤手术(第167)2025年10月26日(周日)...
9
这个是脑膜瘤吗?58岁男性,洛阳市人。今年10月份单位作体检,发现这个...
10
20岁女大学生生病三年身体虚弱如林黛玉。洛阳市女学生,三年前开始出现食...
热门分类
推荐
热榜
军事
NBA
体育
社会
明星八卦
娱乐
财经
科技
汽车
历史
国际
游戏
动漫
公益
搞笑
商业
互联网
数码
国际足球
房产
家居
时尚
科学探索
职场
育儿
股票
教育
影视
情感
热点
中国军情
武器
中国南海
中国足球
亚洲杯
科比
综合体育
CBA
投资
大咖秀
外汇
创业
风口
SUV
豪车
概念车
优惠
新能源
美国
欧洲
朝日韩
俄罗斯
孕期
街拍
婚姻
正能量