万益资讯网
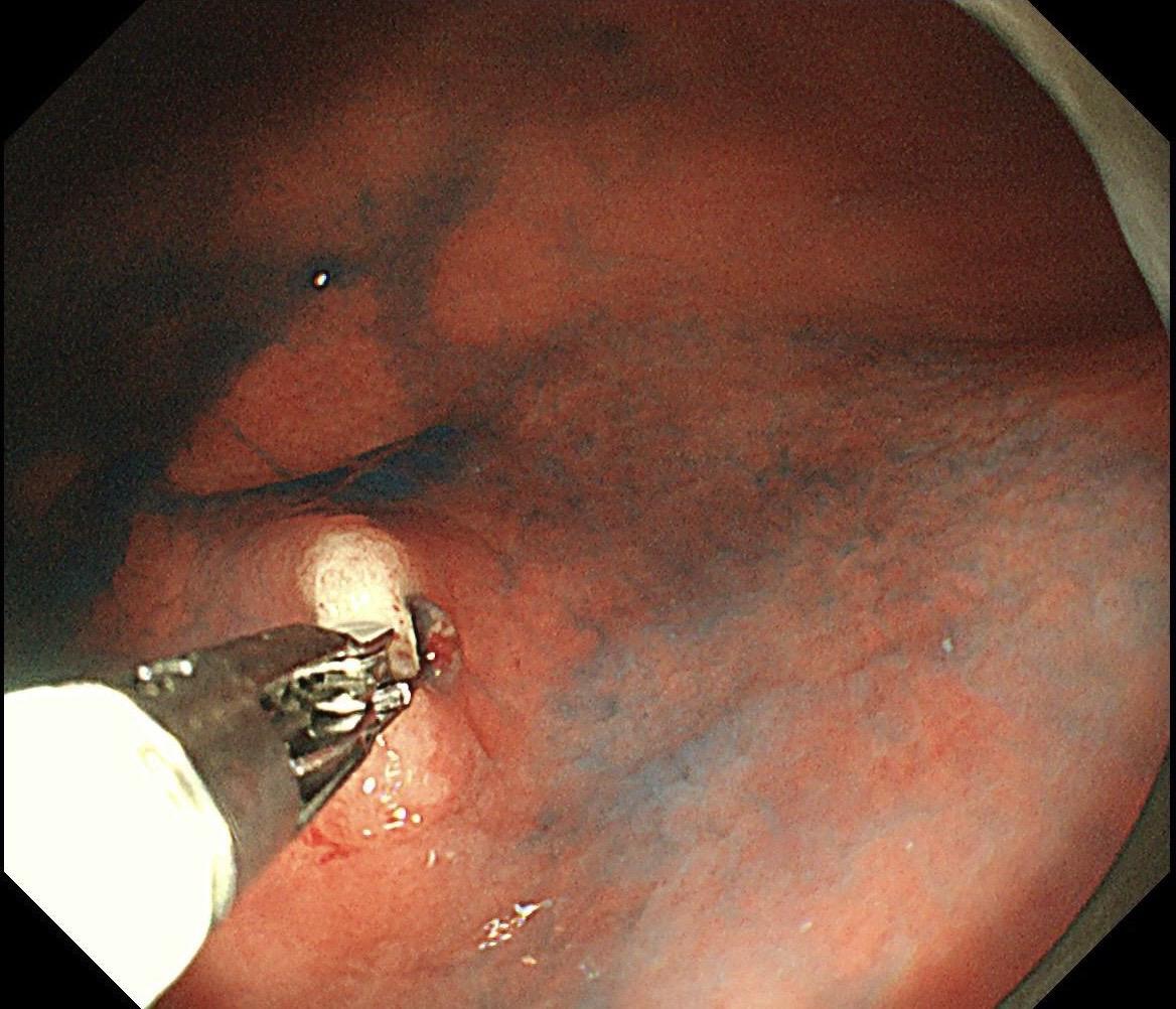
男,40岁,胃双发褪色调病变。慢性胃炎复查,3年前胃镜未见异常,Hp阳...
消化内镜王磊
2025-10-25 13:09:50
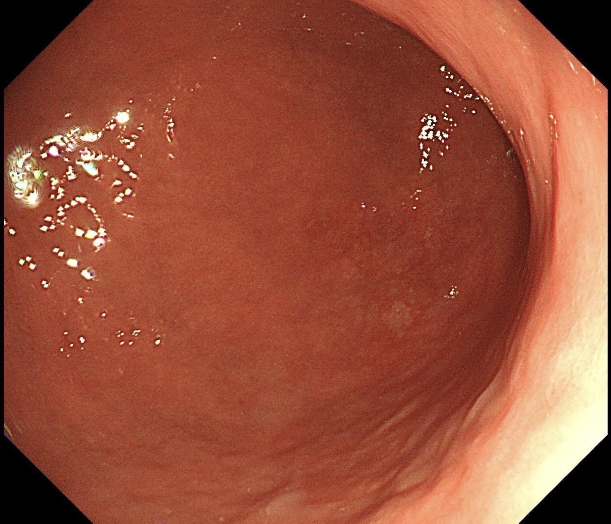
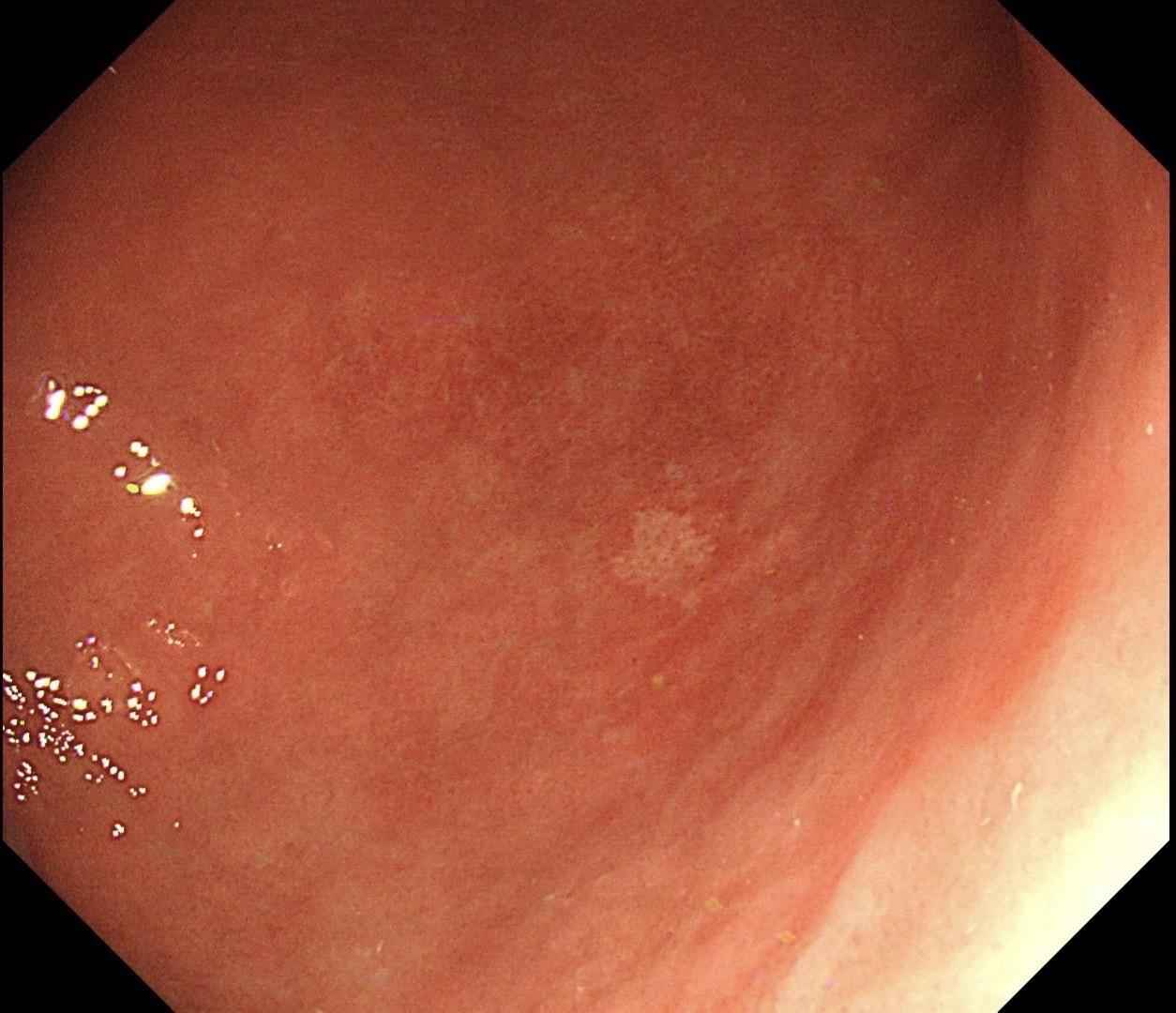
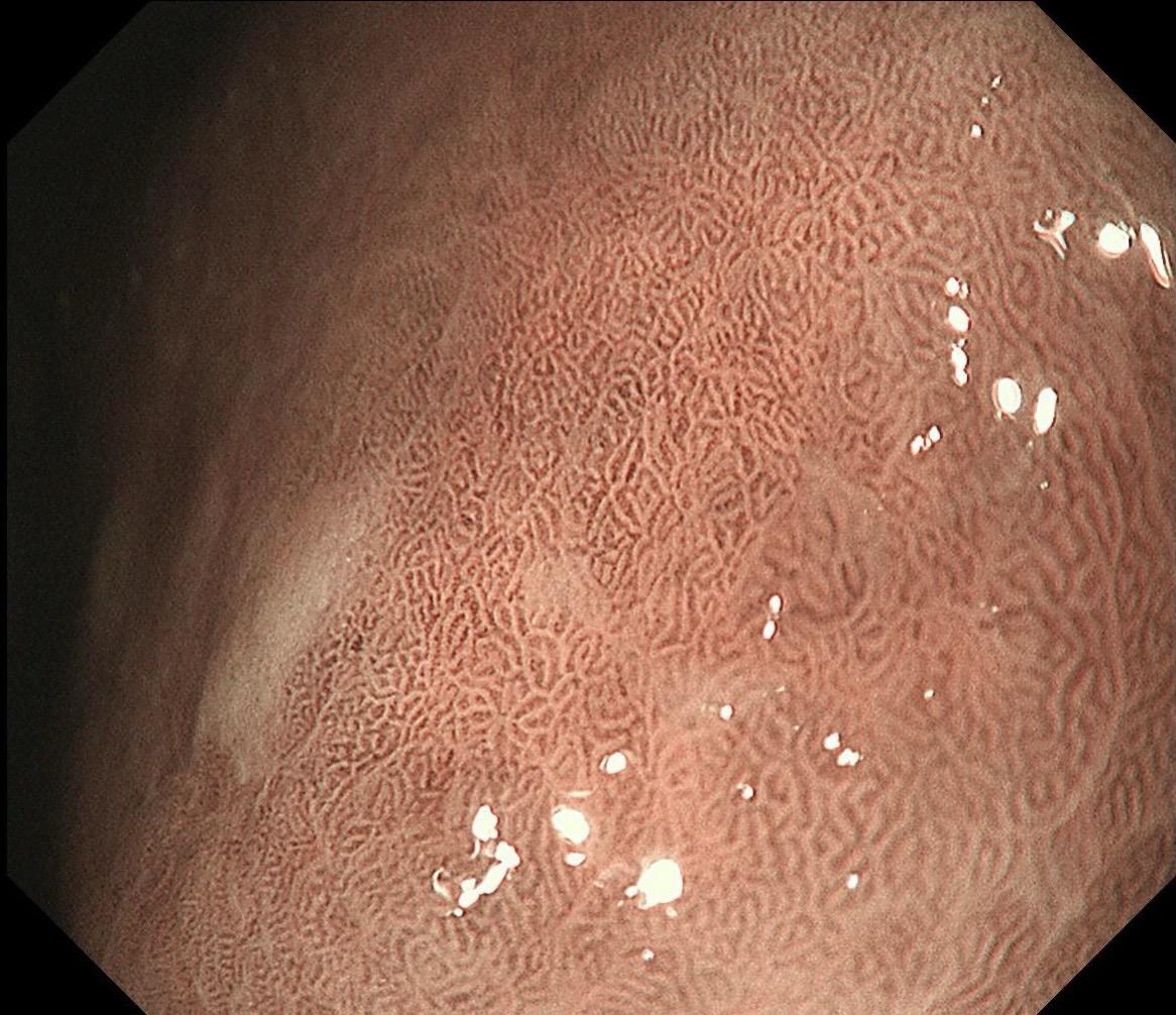
男,40岁,胃双发褪色调病变。慢性胃炎复查,3年前胃镜未见异常,Hp阳性背景,萎缩不明显,胃体下部大弯见一褪色调病变,浅凹陷,5mm左右,换用放大内镜观察,表面结构缺失,血管异型明显,未分化可能性大……胃窦后壁见一白斑,无高度差,NBI浅茶色,放大草草看了下,似有边界,IP增宽,活检待病理……小哥哥胖得几乎没脖子,腹式呼吸太明显~😖
0
阅读:39
消化内镜王磊
感谢大家的关注
作者最新文章
1
小小的糜烂一枚。这样的病灶,就算结果是阴性的,也很有意义~
2
哇哦,树莓哎。小凹上皮肿瘤伴高级别上皮内瘤变,日常工作中并不常见,可惜...
3
上班偶遇。开车的老登,坐车的中登,狂蹬自行车的一群小登……
4
出去走走,满血复活…
5
低位早期直肠Ca.男,37岁,大便带血1月,距齿状线2cm,ESD切除...
6
马格南VS子弹。希望你能赢,输了也没关系…
7
女,73岁,食管双发病变。泰州人,入院系统体检,首次胃镜检查,上段16...
8
男,40岁,胃双发褪色调病变。慢性胃炎复查,3年前胃镜未见异常,Hp阳...
9
十二指肠球部NET(活检后)本来就很小,活检完白光几乎看不见……放大下...
10
结肠SSL 醋酸染色。染色效果不亚于靛胭脂,结合NBI,Near fo...
热门分类
推荐
热榜
军事
NBA
体育
社会
明星八卦
娱乐
财经
科技
汽车
历史
国际
游戏
动漫
公益
搞笑
商业
互联网
数码
国际足球
房产
家居
时尚
科学探索
职场
育儿
股票
教育
影视
情感
热点
中国军情
武器
中国南海
中国足球
亚洲杯
科比
综合体育
CBA
投资
大咖秀
外汇
创业
风口
SUV
豪车
概念车
优惠
新能源
美国
欧洲
朝日韩
俄罗斯
孕期
街拍
婚姻
正能量